 |
〒762-0007
香川県坂出市室町3-4-14
TEL:0877-59-1184
FAX:0877-59-1173
駐車場:有(7台)
指定医療機関:保険医療機関
補綴物維持管理料算定機関
初診電子化加算算定機関
齲蝕歯無痛的窩洞形成加算算定機関
歯科外来診療環境体制加算算定機関 |
|
|
| 歯を残す事へのこだわりについて |
当院には、
「他の歯科医院で「抜歯」と言われたのですが、なんとかなりませんか?」
という主訴の方もいらっしゃいます。
始めに断っておきますが、私ははっきりと物を言う方ですので、
「ダメな物はダメです」と言います(笑)
ただ、一手間二手間かけてあげることで保存の可能性がある歯が
「抜歯」と言われている歯の中にある事も事実です。
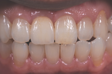
例えば症例1の患者さん。
前歯が折れ(他院で折れた歯は仮止めしています)そこで抜歯と言われたので
インプラントを含めた治療の意見を聞きたいと当院へ来院されました。
割れた部分は唇側が骨の高さと同じくらいまで達していました。

むりやり被せ物を作る方法もありますが、フェルールの不足により脱離を繰り返したり
歯肉が腫れたりすることは目に見えています。
前医の先生は上記理由で抜歯し、ブリッジによる補綴という判断を行った物と推察されます。
この判断は間違いではありません。
むしろフェルールが確保出来ないために抜歯の判断をされていますので
かなり的確な診断をされていると思います。
しかし私の判断は、
「そのままの状態での補綴検討をするのであれば抜歯、
しかし部分的矯正治療を併用する事が出来るのであれば保存に挑戦する価値は十分ある」
としました。
インプラント全盛の現在、インプラントが得意な先生であれば問答無用でインプラントなのでしょうが
(実際、患者さんも相談に行った他院でインプラントの説明を受けたようです)
インプラントでも自分の歯には勝てません。
可能であればご自身の歯を残す事にこだわってみてはいかがでしょうか。
(前述しましたが、ムリな物はムリだという事はご理解ください)
この患者さんは矯正治療を併用することで、ご自身の歯を残すことが出来ました。


(矯正担当:上里矯正歯科クリニック Dr.上里聡
技工担当:(株)スマイルケア DT.細川直哉 当院担当歯科衛生士:DH.藤川陽子)
お二人の先生方にはいつも助けていただいております。
この場を借りて御礼申し上げます。
もちろん、当院スタッフにもいつも助けてもらってます。みんな、ありがとう!
(こうやって書いていると私が何もしていないDrみたいだなぁ(笑)
|
|